ホワイトニングなら 高野歯科医院
毎日を
毎日を
もっと
素敵に
W H I T E N I N G
∨
FEATURES
MENU
当院の特徴
ご希望の白さや、ご予算、期間などに合わせて最適なプランをご提案します。
ホームホワイトニングは東京都内に匹敵する実績で、歯科業界向けの情報誌(ヘンリーシャイン社発行)で院長へのインタビュー記事がトップに紹介されました。
ホワイトニング
お手軽ホワイトニング
オパールエッセンスGO
- 初回診察後すぐに開始
- 個包装なので好きなペースで進められる
- 忙しい人でも手軽
- 使い捨てトレイで衛生的
お手軽ホワイトニングの流れ
- 1歯の状態を診察
- 2問題無ければホワイトニングキットをお渡し
- 3お家でマウスピースを装着
料金:10回分 25,000円
コスパ No.1
ホームホワイトニング
- コスパ重視の方にお勧め
- もっと白くしたいときは追加でお薬を購入できる
ホームホワイトニングの流れ
- 1歯のクリーニング後、歯の型をとる
- 2歯に合ったマウスピースを作る
- 3お家でマウスピースにジェルを入れる
- 42時間装着する
料金:約2週間分 19,800円
追加のジェル:2本 3,300円(税込)、4本 5,500円(税込)
1回で白く
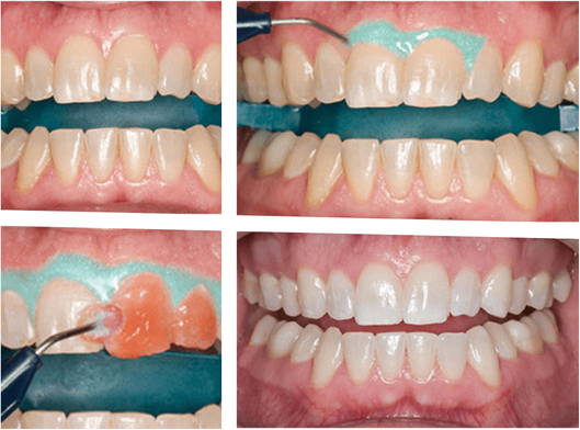
オフィスホワイトニング
- 来院回数を少なくしたい方
- 効果をすぐに実感したい方におすすめ
オフィスホワイトニングの流れ
- 1歯のクリーニング
- 2歯ぐきを保護するお薬を塗る
- 3ホワイトニングのお薬を塗る
- 4色を確認して数回繰り返す
料金:55,000円
オフィス+ホームのW効果
デュアルホワイトニング
- オフィスで一気に白くしてからホームで仕上げる人気プラン
- 短時間で実感、そのあとお家でじっくり白さを定着
- 後戻りしにくく、白さが長持ちしやすい
デュアルホワイトニングの流れ
- 1歯のクリーニングと診察
- 2オフィスホワイトニングで一気に白くする
- 3歯の型をとってマウスピースを作成
- 4お家でホームホワイトニングを行い白さを定着
料金:66,000円
オフィスホワイトニング1回+ホームホワイトニング約2週間分
スペシャルメニュー
プレミアムホワイトニング
- 徹底的に白くしたい方におすすめ
- お家と医院の両方で行うホワイトニング
プレミアムホワイトニングの流れ
- 1 歯の検査とクリーニング、お家で行うお手軽ホワイトニングキットをお渡し
- 2 歯の状態の確認とオフィスホワイトニングを行い、ホームホワイトニングキットのお渡し
- 3 色の確認を行い、ホームホワイトニングのジェルを追加する
- 4 満足した、または限界まで白くなったら終了
料金:80,000円
Q & A
よくあるご質問
ホワイトニングは痛くないですか? +
薬剤の作用で歯がしみる感覚(知覚過敏)が出ることがあります。ただし一時的なもので、ほとんどの方は施術後しばらくすると落ち着きます。気になる場合はお気軽にご相談ください。必要に応じて知覚過敏対策のジェルをご提案することもできます。
ホワイトニングの効果はどのくらい続きますか? +
個人差はありますが、1〜3年ほど白さが続く方が多いです。色の着く飲食物(コーヒー・赤ワイン・カレーなど)を控えたり、定期的なメンテナンスを続けることで効果を長持ちさせることができます。
かぶせ物・詰め物はホワイトニングできますか? +
ホワイトニングはご自身の天然歯にのみ効果があります。かぶせ物・詰め物の色は変わりません。ホワイトニング後に歯の色に合わせて補綴物を交換することをお勧めする場合があります。
ホワイトニング中・後の食事制限はありますか? +
ホワイトニング中・直後は歯に色が着きやすい状態になります。赤ワイン・コーヒー・カレー・タバコなど着色しやすいものは、施術後24時間程度できるだけ控えていただくと効果が高まります。
妊娠中・授乳中でもホワイトニングできますか? +
妊娠中・授乳中の方はホワイトニングをお断りしております。ご出産・授乳が終わった後にあらためてご相談ください。
自分に合うプランはどれですか? +
ご希望の白さ・ご予算・期間などを総合的にお聞きして最適なプランをご提案します。まずはお気軽にご相談ください。コストパフォーマンス重視の方にはホームホワイトニング、すぐに白くしたい方にはオフィスホワイトニング、両方の良いとこ取りをしたい方にはデュアルホワイトニングが人気です。
神経をとった歯はホワイトニングできますか? +
神経をとった歯(失活歯)は、通常のホワイトニングでは白くならない場合があります。歯の内部から漂白する「ウォーキングブリーチ」などの方法もありますので、まずはご相談ください。
支払い方法は何が使えますか? +
現金・クレジットカード・電子マネーの3種類からお選びいただけます。ご不明な点は受付にてお気軽にお尋ねください。
